Dr. med. dent. Andreas E. Jess
Ganzheitliche Zahnheilkunde
Professionelle Zahnreinigung in regelmäßigen Recallintervallen ist der Grundstein für weiße Zähne und gesundes Zahnfleisch
Prophylaxe ermöglicht eine Reduktion von Karies und Zahnfleischrückgang um 90 Prozent. Verfärbungen, Beläge und Mundgeruch werden zuverlässig beseitigt.
Am Anfang steht immer eine Gratisberatung und das Erstellen eines individuellen Parodontitis- und Kariesrisikoprofils sowie eine umfassende Aufklärung zu notwendigen Behandlungsabläufen und das Ermitteln eines Kostenrahmens.
Ein angenehm frischer Atem und ein strahlendes Lächeln steigern Lebens- und Selbstwertgefühl.
Die Farbe der Schönheit
Unter zahnärztlicher Aufsicht erhalten Sie risikofrei und schonend strahlend weiße Zähne für ein sicher - bezauberndes Lächeln.
Modernste Brite Smile-Technik aus den USA hellt Ihre Zähne durch Powerbleaching in 1,5 Stunden um nahezu 10 Farbnuancen auf.
Bei gründlicher Mundhygiene und regelmäßiger Prophylaxe bleibt dieses Ergebnis mindestens zwei bis drei Jahre erhalten.
Mit einem strahlend weißen Lächeln ist vieles leichter, denn es steigert Attraktivität und Selbstbewusstsein
Zahnfarbene Mikrofüllungen oder Keramikinlays orientieren sich am Original und vervollständigen unsichtbar den Zahn. So kann oftmals eine Krone oder sogar der Verlust eines Zahnes vermieden werden.
Der Ästhetik ein wenig nachhelfen
Veneers - dünne Keramikverblendschalen wer- den an abgebrochene, verfärbte oder verkürzte Zähne angearbeitet. Auch kleinere Zahnlücken können mit dieser zahnsubstanzschonenden Technik geschlossen werden.
Besondere Aufmerksamkeit verdienen unsere jüngsten Patienten. Die stressfreie, spielerische Behandlung mit Kinder-Vorsorgeprogramm erfolgt nach modernsten Kindertechniken mit viel Zeit und Spaß.
Die Kleinen erfahren alles über spezielle Zahnputztechniken und gesunde Ernährung. Sie lernen, dass starke Zähne wertvoll und nützlich sind und ein Leben lang erhalten werden müssen.
In die Decke integrierte Multimedia-Fernseher wie auch Entspannungstechniken lenken unsere Patienten ab und lassen die Behandlungszeit angenehm verfliegen.
Große und kleine Angstpatienten können auf Wunsch in sanfter Schlafnarkose behandelt werden.
Sicher-fester Zahnersatz - ganz nah an der Natur
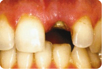
Fester Ersatz fehlender Zähne ohne Kompromisse bei Schönheit und Komfort als Alternative zur „schwimmenden, lockeren Prothese“ wie auch zur Versorgung einzelner Zahnlücken. Moderne Implantate sitzen sofort und sehen so natürlich aus wie echte, kerngesunde Zähne. Nachbarzähne müssen so nicht mehr „kaputtbeschliffen“ werden.
Modernste Operationsverfahren ermöglichen festsitzende Zähne in nahezu jeder Situation und schaffen so absolute Sicherheit und mehr Lebensqualität.
Erkrankungen des Zahnbettes und des Zahnfleisches sind heilbar
100 Prozent der über 40jährigen Erwachsenen leiden unter Parodontitis, einer Entzündung des Zahnbettes.
Das erste Anzeichen - Zahnfleischbluten ist sehr ernst zu nehmen.
Die Therapie von gelockerten Zähnen und Zahnfleischrückgang erfolgt durch schonende Mikrooperationen mit Knochen- und Zahnfleischaufbau.
Ein umfassendes Nachsorgeprogramm in unserer Prophylaxe-Abteilung ermöglicht schnelle und schmerzarme Heilung.
Der Erfolg der Behandlung wird somit langfristig gesichert.
Die natürlich-künstliche Kunst
Die Vielfalt an hochwertigen Techniken und Materialien ermöglicht uns heute, Zahnersatz der Natur nachzuempfinden - ja die Natur natürlich-künstlich zu übertreffen.
Für perfekte Ästhetik und biologische Verträglichkeit können Kronen und Brücken auf Wunsch metallfrei in Vollkeramik hergestellt werden.
Immer steht der persönliche Ausdruck im Vordergrund. Zahnform, Zahnfarbe und Zahnstellung prägen das Gesicht. Lächeln soll Spaß machen.
Schienentherapie
Kiefergelenksfehlbelastungen und Verspannungen sowie ihre Ausstrahlung als Rücken- und Kopfschmerz werden genau wie Zahnknirschen und -pressen durch modernste Schienentherapie und Kaumuskeltraining behandelt.
Ganzheitlich - naturheilkundliche Diagnose und Behandlung
Wird der Körper als Ganzes betrachtet, kann man funktionelle und biomedizinische Zusammenhänge erkennen. Störfelder und Entzündungsherde werden gefunden und beseitigt, Materialien auf Ver- träglichkeit und Allergiepotential getestet.
Dentalboutique
Zahnpflegeartikel und individuelle Beratung für die wirkungsvolle Vorsorge und Zahnpflege zu Hause.
Prophylaxe - Wellness im Mund
Powerbleaching - Zahnaufhellung


Unsichtbarer Zahnersatz


Schonende Parodontologie


Implantologie

Keine Angst vorm "weißen Mann"
Ästhetische Zahnheilkunde



